Identificateur
Annie Guérin
Crédit photo
Laboratoire d'expertise et de diagnostic en phytoprotection - MAPAQ
Fournisseur
Laboratoire d'expertise et de diagnostic en phytoprotection
Photographe
Dominique Hamel
Légende
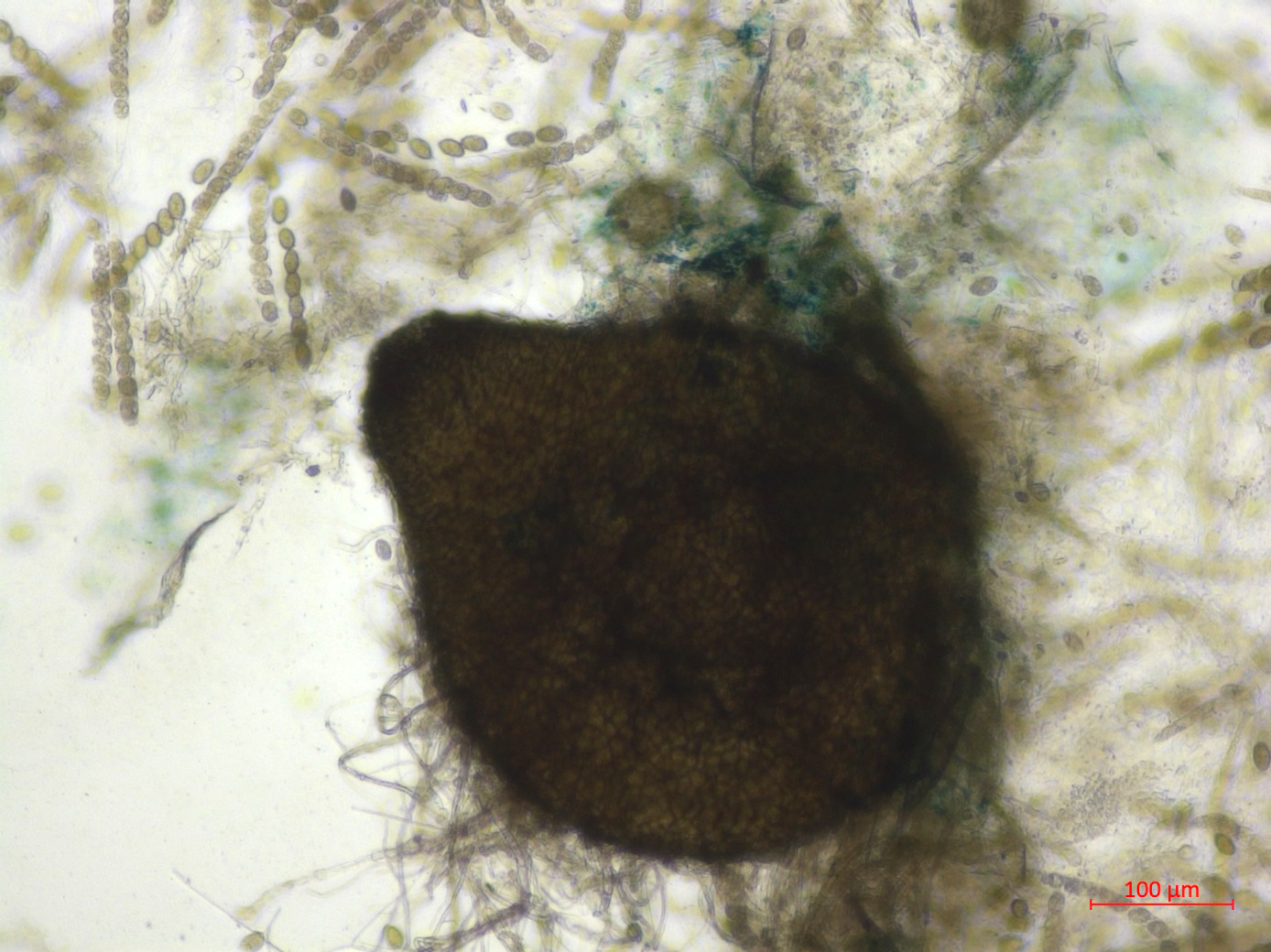
Périthèce de Sordaria sp. et quelques ascospores contenues dans leur asque
OrganisationFournisseur
MAPAQ - Direction de la phytoprotection (DP)