Identificateur
Mario Tesolin
Crédit photo
Laboratoire d'expertise et de diagnostic en phytoprotection - MAPAQ
Fournisseur
Laboratoire d'expertise et de diagnostic en phytoprotection
Photographe
Mario Tesolin
Légende
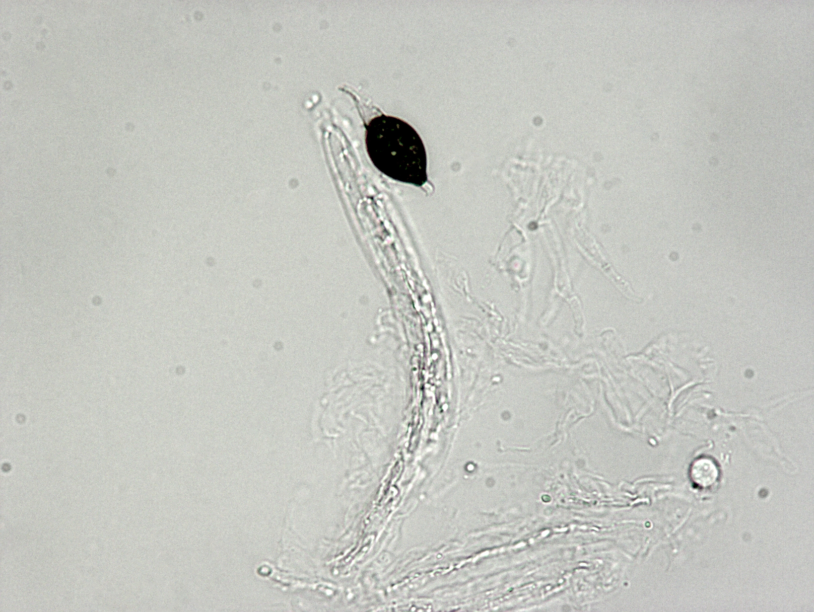
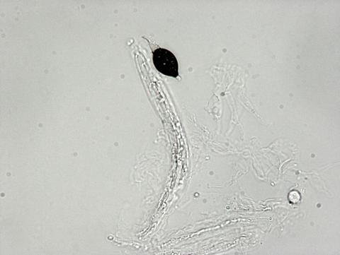
Ascospore mature et asque vidé de Bombardia sp.
OrganisationFournisseur
MAPAQ - Direction de la phytoprotection (DP)