Verticillium dahliae
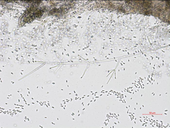
Conidies : Proviennent des apex des phialides, de forme ellipsoïdale ou irrégulièrement cylindrique, hyalines, en majorité simple et peuvent être occasionnellement avoir une septation. Dimension : 2,5-8 x 1,4-3,2 μm.
Conidiophores : Abondants, hyalins, portant de 3 à 4 phialides qui surgissent à chaque noeud. Les phialides varient en leur grosseur (dimension généralement de 16-35 x 1-2,5 μm).
Microsclérotes : Surgissent de façon centrale aux cultures. De teinte brune foncée à noire, formées en botryose ou cylindrique (formé de cellules globulaires). Chaque microsclérote émerge d'un hyphe simple par bourgeonnement. De forme variable (élongé à une sphère imparfaite). Très variable en grosseur. Diamètre: 15-100 μm.
Chlamydospores : Absentes.
Abricotier, Amaryllis, Argousier, Aubergine, Bleuet nain, Bleuets, Cerisier, Chèvrefeuilles, Chrysanthèmes, Citrouille, Concombre, Épinard, Épine-vinette du Japon, Érables, Fraise, Framboise rouge, Framboise noire, Géraniums (Pélargoniums), Ginseng d’Amérique, Houblon, Ketmie, Marguerites, Melons (cantaloup, melon miel, etc.), Menthe, Muflier, Ormes, Pêcher, Pétunias, Piment, Poivron, Pomme de terre, Potiron, Reine-marguerite, Rosiers, Sariette, Tabac, Tomate, Tournesols, Trèfle
Noms des maladies des plantes au Canada. 4e éd. (2003). Société de protection des plantes du Québec (SPPQ), Sainte-Foy (Québec). 340 p.
International Mycological Institute (IMI). Descriptions of Fungi and Bacteria. CAB International (CABI), Kew, Surrey, United Kingdom.
Cultures ou autres organismes affectés
Maladies parasitaires
Aubergine





Concombre


Fraise


Pétunias



Pomme de terre



